吃飯一個小小疏忽!37歲男子「竟要切肝保命」當場嚇傻 

  • author Kitty
  • 2025-10-22

37歲的李先生(化名)至今仍難以相信,這根藏在體內半個月的「隱形殺手」,竟險些讓他陷入生命危險。

吃飯一個小小疏忽!37歲男子「竟要切肝保命」當場嚇傻 


半月前,李先生在沒有明顯感覺的情況下,不小心吞食了一根魚刺。幾天後,他陸續出現腹痛、發熱、畏寒等癥狀,體溫一度高達40℃。在當地醫院,醫生診斷為「肝膿腫」,並給予抗炎、補液及穿刺引流治療。可高燒反覆、腹痛難解,始終沒有找到確切的病因。

吃飯一個小小疏忽!37歲男子「竟要切肝保命」當場嚇傻 

Advertisements


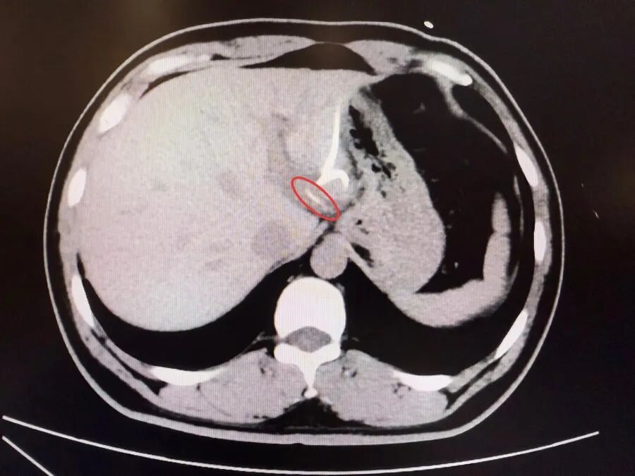
直到行CT檢查時,醫生才驚訝地發現——肝臟左葉靠近胃賁門處,竟有一條細長的高密度影,形似魚刺。原來,那根魚刺在吞咽厚穿透了胃壁,從賁門區域「鑽」入肝臟,引發感染與膿腫。在簡單進行肝膿腫介入穿刺引流后,當地外科醫生評估后認為,要徹底清除異物,需要進行左半肝切除手術,但這對於李先生來說,創傷大、風險高,他難以接受。

吃飯一個小小疏忽!37歲男子「竟要切肝保命」當場嚇傻 


而魚刺位置非常兇險,就在賁門旁刺入左肝,緊貼大血管。病程長、腹腔感染粘連嚴重,術中可能找不到魚刺,一旦操作不慎也會造成內鏡下無法控制的大出血。而後醫師提出了個大膽的設想——能否通過胃鏡,在食道管壁夾層建個隧道「開一扇門」,直接進入腹腔取出魚刺?這個想法意味著要讓內鏡「跨越」胃壁的天然邊界,是一次前所未有的嘗試。


Advertisements

經過耐心手術分離,一抹銀光在燈下閃現——那正是長約3.5厘米的魚刺,鋒利如針,已深深嵌入左肝組織中。醫師穩穩夾住魚刺,將其完整取出,全程無明顯出血。手術歷時3小時,患者術後恢復順利,體溫恢復正常,肝膿腫逐漸吸收,免於進行高創傷、高風險的左半肝切除手術,保住了完整的肝臟功能。

吃飯一個小小疏忽!37歲男子「竟要切肝保命」當場嚇傻 


據悉,該手術是全球首例「內鏡下經食管黏膜下隧道進腹肝異物取出術」,標誌著內鏡技術在跨腔治療領域新的突破。就像在食管和胃壁上開了一扇「隱形之門」,通過內鏡直達病灶,實現精準、微創、安全地取出異物,為未來複雜胸腹腔病變的內鏡介入治療提供了全新思路。


Advertisements

專家提醒,魚刺、雞骨、牙籤等尖銳異物一旦誤吞,應儘早就診,不可依賴「吞飯糰」「喝醋」等民間方法自行處理。若異物穿透胃腸壁,可引發胸腔大出血、腹膜炎、膿腫,甚至危及生命,喝醋不僅沒辦法讓魚骨「軟化」,反而容易造成咽喉及胃食管粘膜損傷吞咽食物容易導致口咽部的魚刺扎傷局部黏膜,或者下行至更深的位置

吃飯一個小小疏忽!37歲男子「竟要切肝保命」當場嚇傻 

圖片來源 大紀元


如果真的不幸被魚刺刺到,那該怎麼辦?首先用力的咳嗽,看是否能把魚刺咳出來,如果能看到魚刺,可以用鑷子夾取,如果無明顯好轉,即刻及時就醫當不慎吞下尖銳的異物,出現腹痛、腹脹、噁心嘔吐、肛門停止排氣排便等情況時候,要高度懷疑腸梗阻可能。

精選推薦

Comments

留言